Le nostre ceramiche

Nel 1998 nasce il progetto Natural Ceramic System. Obiettivo? La messa a punto di materiali ceramici all’avanguardia in grado di soddisfare i tecnici più esigenti. Risultato? Un Sistema Ceramico completo che si esprime attraverso una tecnica di lavorazione unica e universale.

Vai alla ceramica

Multimedia Book ed esempi d'uso

Sezione book multimediali sfogliabili online che illistrano tecniche di lavorazione e casi clinici e esempi d'uso della ceramica

Consulta i book
Esempi d'uso

Centro corsi

Per Tressis Italia la formazione professionale, l’assistenza pre e post vendita rivestono un'importanza fondamantale. A Conegliano abbiamo realizato un Centro Corsi di circa 1000 mq. con Sala Conferenze e Laboratorio con 19 posti realizzato da CATO Odontotecnica.

Vedi centro corsi

Nel sito

Questo sito è stato realizzato per dare informazioni tecniche sia sul prodotto Natural Ceramic System, sulle iniziative promosse da Tressis Italia srl, e molto altro ancora.

Formazione e corsi

Vedi il prossimo evento- giornata formativa,in programma.

Prossimo evento
rassegna stampa

Rassegna stampa

Rassegna di articoli tecnici sulla ceramica ed i metalli per ceramica.

VAI A RASSEGNA STAMPA
video

VIDEO TUTORIAL

Video tutorial, informativie e dimostrativi.

PAGINA VIDEO

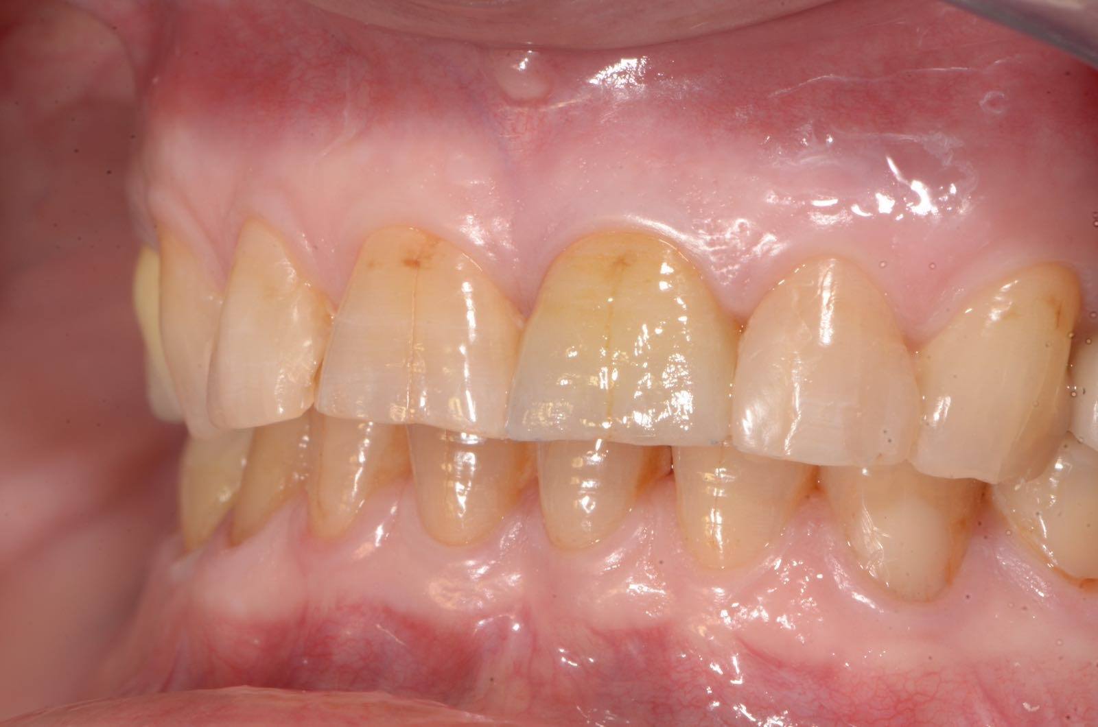
CASI CLINICI

Casi clinici ed esepmi d'uso e di ultilzzo della ceramica Natural

VEDI I CASI

Questo sito è sviluppato e gestito da Tressis Italia multimedia

Created by Tressis Italia srl

Privacy policy

.

Condizioni generali di vendita

.
Company Info Tressis Italia srl - P.IVA IT-03270150265

Tutto il Materiale contenuto in questo sito è di proprietà di Tressis Italia
e non può essere utilizzato senza autorizzazione scritta di Tressis Italia.

Il contenuto di questo sito è riservato agli operatori
del settore medicale ed odontoiatrico.
In ottemperanza con quanto previsto dalla normativa vigente,
dichiaro quindi sotto la mia responsabilità di essere
un professionista del settore medicale e odontoiatrico e di essere
pertanto autorizzato a prendere visione


Se non sei un operatore professionale del settore medicale e odontoiatrico

ABBANDONA.


Questo portale non utilizza cookies per la profilazione utente
ma solo cookies tecnici per migliorare la navigazione.
Tuttavia possono essere presenti cookies rilasciati da servizi di terze parti.
Continuando la navigazione si accettano implicitamente.
Se sei un operatore del settore dentale puoi visitare questo sito

stile italiano